Miles hiked since Springer Mtn: 538 | Miles left to Katahdin: 1651

So my intended 4 day trek out of Marion to my next resupply lasted all of about 7 miles. Due to the quick response of the gentlemen at the shelter and Doc Junco, I was in a hospital bed receiving treatment within 2 hrs of my fall. 
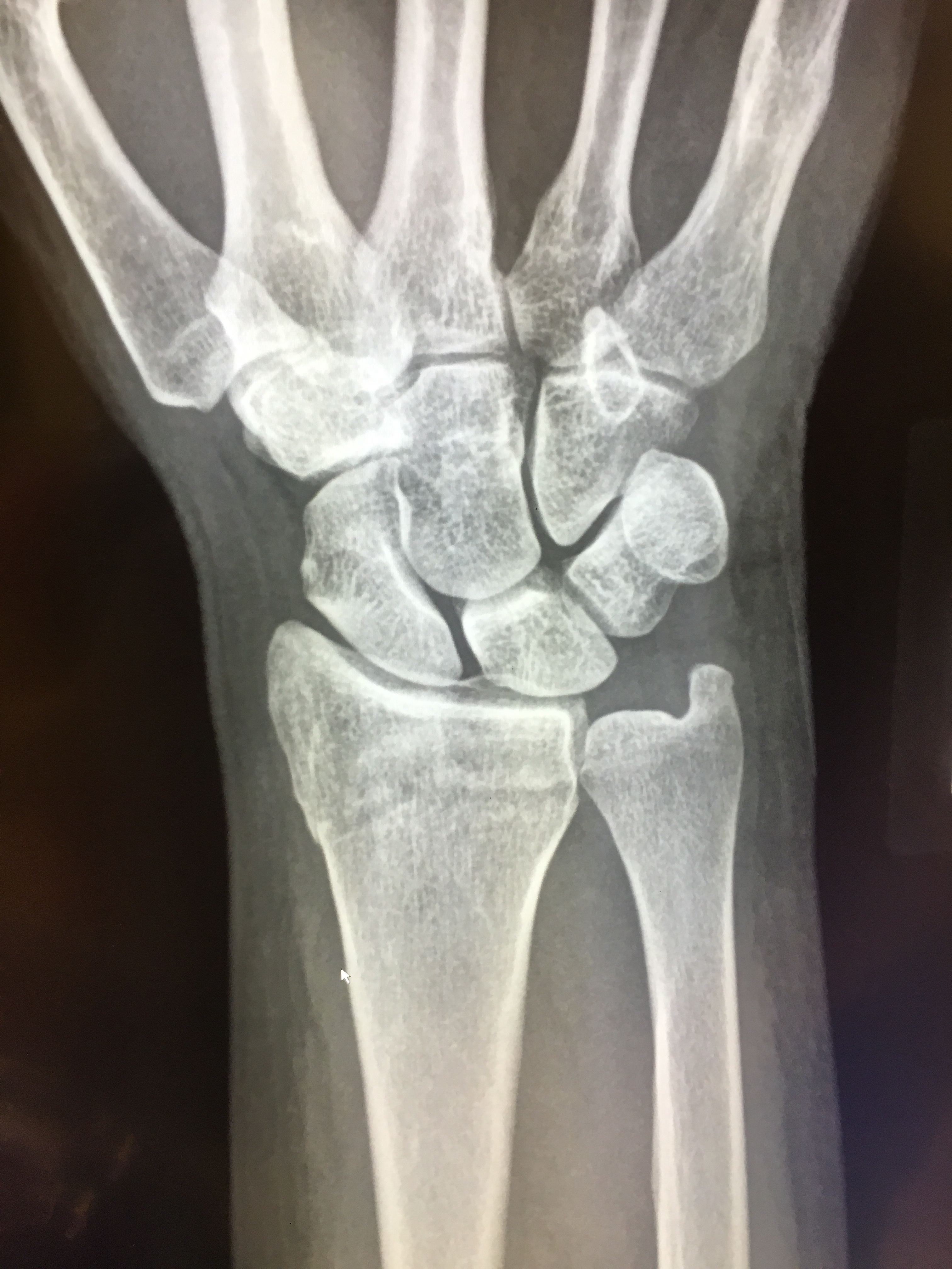
I was taken by all wheel drive ambulance along an incredibly rough forestry service road to the emergency department, and after receiving prompt treatment, the lovely lady who did my x-rays invited me back to her house for the weekend, until such a time as I could see the orthopedic surgeon. She and her husband (Patti and Ralph Wilson) proceeded to welcome me into their beautiful home, where we bonded over good food, a shared sense of humour and the same excellent taste in television programs 😉 (I have almost caught up on seasons 4 & 5 of Game of Thrones).

They told me I could stay with them for as long as I needed. I don’t think I’ve ever slept in a more comfortable bed.



Things have since taken a bit of a sad turn. The orthopedic surgeon wanted to do surgery (today), planning to insert a plate so as to realign the displaced radial bone in my wrist.
But my travel insurance company are insisting that I return to Australia for treatment. So my wrist is in a temporary splint, my AT thru hike is on hiatus and instead of R&R for the recent injury, I have to embark on a 24 hour series of flights with a backpack that I can’t currently lift. Hmmm. Yay?

Because I paid for the highest level of travel insurance and they are insisting on my return to Aus, I am apparently eligible for reimbursement for resumption of journey after my wrist has been treated. In short, my AT journey is on hold, but not over. It might just have to be a section hike 😄. Frustrating but not the end of the world.
Abingdon is a sweet little town. I could totally live here 😊.
More pics soon!
Hope you are doing well, thinking of you and you’re injury!! Xx
May come see you at re-commencement!!
LikeLike
Thanks Sammy! That would be awesome 😃!!!
LikeLike
Also thought you might enjoy this:
http://www.atlasobscura.com/articles/the-obsessively-detailed-map-of-american-literatures-most-epic-road-trips
LikeLike
Ah yes, I have seen this wonderful work – induced one of those ‘why didn’t I think of that?’ moments 😉
LikeLike
PS Happy birthday!!! Xoxo 🎉🎂🍻
LikeLiked by 1 person